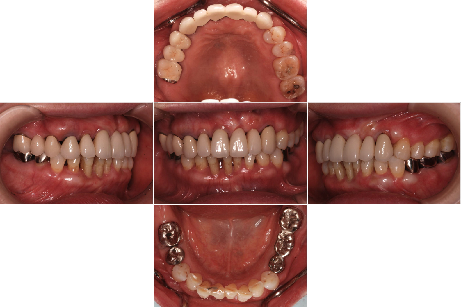
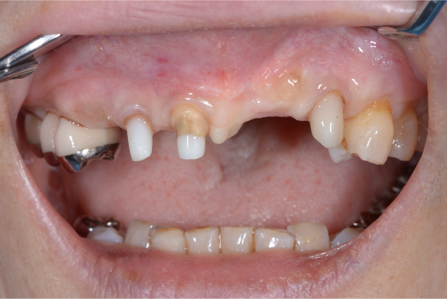
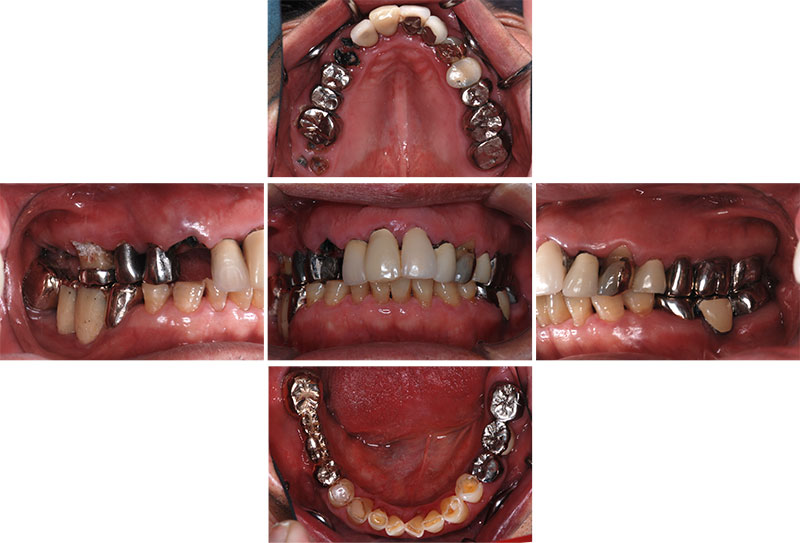
以前に入れていた前歯のブリッジの土台となる歯がボロボロになってしまい、前歯をいくつも失うことになってしまいました。さらに奥歯のかぶせものも古くなり、中で虫歯が進行している状態でした。下の前歯のガタガタも気になっておられ、歯ぐきがやせたことで上の前歯が長く見えてしまうことにもお悩みでした。
そこで、前歯のインプラント治療をきっかけに、お口全体をしっかり見直す治療を行いました。悪くなっている歯はすべて丁寧に治療し、矯正治療も併用しながら、ずれていたかみ合わせも整えました。
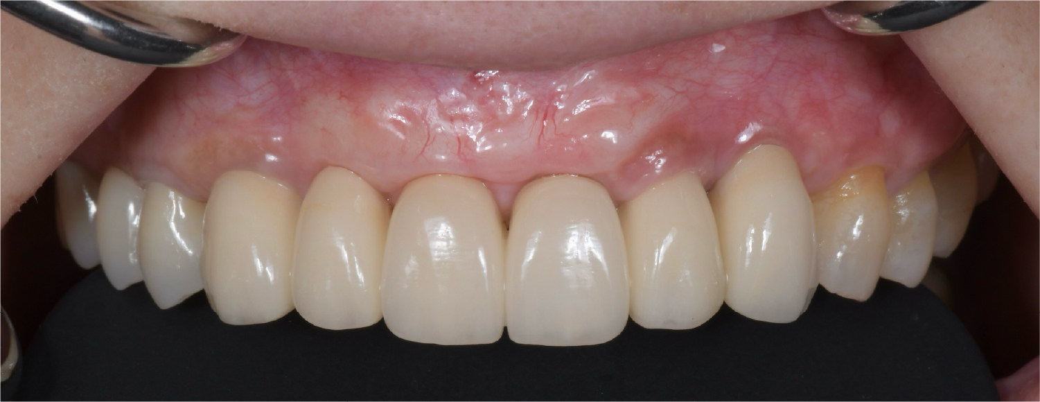
また、必要な部分には骨や歯ぐきを増やす処置を行い、やせてしまった歯ぐきのラインを改善。見た目だけでなく、長く安定して使える状態を目指しました。
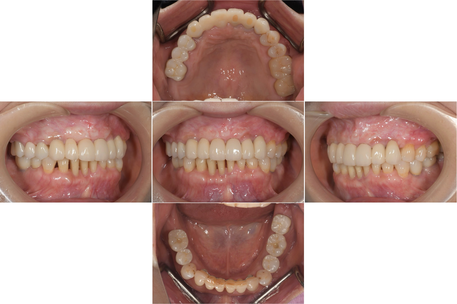
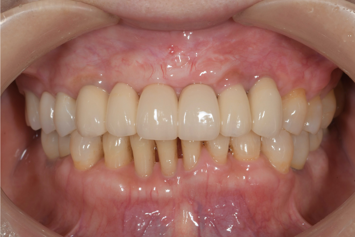
まるで本物の歯のような自然な前歯を再現できたことで、口元の印象が一気に若返り、笑顔にも自信を持っていただけるようになりました。機能面・審美面の両方を大切にした総合的な治療で、安心して毎日を過ごしていただいています。
治療前後写真






治療詳細
| 年齢・性別 | 70代女性 |
| 主訴 | 前歯をきれいにしたい・悪いところはすべて治してほしい |
| 治療内容 | 奥歯2本のインプラント治療・前歯5本のインプラント治療・骨造成・9本のセラミック治療(自分の歯)・部分矯正治療・かみ合わせのずれを治す治療 |
| 治療期間 | 約3年 |
| 治療費用 | 5,577,000円(税込) |
| リスク・副作用 | 治療後は定期的にメインテナンスを行わないと、インプラント周囲炎になる可能性があります。 |
監修者情報

歯学博士 松岡隆
医療法人社団侑友会 松岡歯科 小児矯正歯科 院長/歯学博士。
大阪大学歯学部卒業後、同大学附属病院クラウン・ブリッジ補綴科および口腔補綴科インプラントグループに所属し、グループ長としてインプラント治療を専門に2,000症例を超える相談・治療に携わる。
現在は日本口腔インプラント学会専門医として、難症例やトラブル症例を含むインプラント治療・咬合再建を中心に診療を行いながら、大阪大学大学院歯学研究科 臨床講師、日本臨床歯科学会大阪支部 理事として、大学教育や学会講演を通じて後進の育成にも力を注いでいる。




