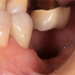
10年前の事故で前歯を失い、人工の歯を横にはりつける方法で対応されていた患者様の症例です。しかし、人工歯が頻繁に取れてしまい、前歯でものを噛み切れない状態が続いていました。
今回、前歯のインプラント治療を希望され、骨造成と軟組織移植を含めた治療を実施。機能面の回復だけでなく、前歯として自然に見えることにも配慮して治療を進めました。
その結果、しっかり前歯で噛み切れるようになり、見た目も「本物の歯と区別がつかないくらいきれいになった」と喜んでいただけた症例です。当院では、噛めることはもちろん、自然で美しい仕上がりにもこだわっています。
治療前後写真


治療詳細
| 年齢・性別 | 30代女性 |
| 主訴 | 前歯にインプラント治療をしてほしい |
| 治療内容 | 前歯1本のインプラント治療・骨造成・軟組織移植2回 |
| 治療期間 | 約1年 |
| 治療費用 | 990,000円(税込) |
| リスク・副作用 | 治療後は定期的にメインテナンスを行わないと、インプラント周囲炎になる可能性があります。 |
監修者情報

歯学博士 松岡隆
医療法人社団侑友会 松岡歯科 小児矯正歯科 院長/歯学博士。
大阪大学歯学部卒業後、同大学附属病院クラウン・ブリッジ補綴科および口腔補綴科インプラントグループに所属し、グループ長としてインプラント治療を専門に2,000症例を超える相談・治療に携わる。
現在は日本口腔インプラント学会専門医として、難症例やトラブル症例を含むインプラント治療・咬合再建を中心に診療を行いながら、大阪大学大学院歯学研究科 臨床講師、日本臨床歯科学会大阪支部 理事として、大学教育や学会講演を通じて後進の育成にも力を注いでいる。





